DR MOULIN Valérie
Chirurgien Dentiste à Noyant
DR MOULIN Valérie
Chirurgien Dentiste à Noyant

7 allée des Charmes
49490 NOYANT

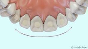
Fil de contention


video-play-icon

Articles similaires

Création par Webdentiste

Connexion